【2022年最新】錐体路・錐体外路の経路と機能・MRIは?皮質脊髄路とは違う?脳卒中後の麻痺とリハビリは?
錐体路と錐体外路の違いは?
錐体外路と錐体路は、脳から下位運動神経に向けて運動信号を送る経路であり、これらの下位運動神経細胞は直接筋肉を支配して運動を引き起こすため、どちらも運動の経路となります。
| 特徴 | 皮質脊髄路(錐体路) | 錐体外路 |
|---|---|---|
| 機能 | 随意運動の制御 | 運動の調節、筋緊張、姿勢、平衡を含む |
| 起源 | 脳の運動野 | 基底核、脳幹、小脳などのさまざまな脳領域 |
| 経路 | 脳幹および脊髄を通って下行 | 異なる脳領域を結ぶ複数の間接的な経路 |
| 終止点 | 脊髄内の運動ニューロンと直接シナプス形成 | 運動ニューロンに影響を与える間接ニューロンとシナプス形成 |
| 運動開始の役割 | 随意運動を直接開始 | 錐体系によって開始された運動を調節および改善 |
| 損傷や障害 | 筋力低下、痙縮、微細運動制御の喪失 | 運動障害、例えば振戦、固縮、異常な不随意運動 |
| 機能障害による病気の例 | 脳卒中、脳性麻痺、外傷性脳損傷 | パーキンソン病 |
錐体路とは?
大脳皮質から発生し、運動線維を脊髄と脳幹に運ぶ経路です。体や顔の筋肉を随意的に制御する役割を担っています。

運動野(大脳皮質にある随意運動の引き金となる信号が発生する領域)から伸びている運動機能に主に関わる下行性白質路で、前角で脊髄の運動神経とシナプスを形成します。
錐体神経細胞の一群は、脳を通り、脳幹に沿って、脊髄に至る繊維の密なネットワークを作ります。脊髄に入ると、下位運動ニューロンは、全身の筋肉を支配する神経に接続します。
中枢神経系の重要な部分であり、身体が行う随意運動を司ります。随意運動が行われると、その信号は錐体路に沿ってニューロンからニューロンへ、目的の神経に到達するまで伝達されます。
この伝達は一瞬で行われるため、人は瞬時に反応することができるのです。錐体路を介した制御は非常に精密で細かく、脳外科手術の際の手の動きの制御からマラソンまで、あらゆることが可能です。
機能的には、錐体路は2つに細分化されます。
皮質脊髄路 – 身体の筋組織に神経支配を供給する
皮質延髄路:頭頸部の筋系に神経支配を供給する
皮質脊髄路とは?より詳しく
先ほどの錐体路の内容と類似しますが、皮質脊髄路は脊髄へ運動に関する情報を伝える主要な経路の一つです。
約100万本の神経線維(伝達物質としてグルタミン酸を用い、平均伝導速度は約60m/s)が存在します。
皮質脊髄路に沿ったシグナル伝達は、歩く、手を伸ばすなど様々な動作に関与していますが、特に文字を書く、タイピングする、服のボタンをかけるなどの細かい指の動作に重要です。
人間の運動機能の最高位を表し、微細な動きを最も直接的に制御します。
皮質脊髄路の選択的損傷後、一定期間後に粗大運動(リーチングなど)は回復できますが、個々の指の動きを行う能力を完全に回復することはできません。
この軸索の約半分は一次運動野のニューロンから伸びていますが、その他は脳の一次運動野以外の体性感覚野などの頭頂葉の領域で発生します。
詳細
30%〜40%は一次運動野から発生します。残りの線維は、補足運動野(SMA)、運動前野(PMA)、体性感覚野の一部(S1およびS2)、および後頭頂葉の一部から生じます。
これにより、この経路は運動系の一部を形成するだけでなく、大きな感覚的役割も持っていると考えられています。感覚皮質に由来する線維は、脊髄の後角で終結します。
ここで、それらは体性感覚受容体からの入力を受け取り、脊髄内の末梢受容体からの情報を調節する介在ニューロンとシナプスを形成します。
したがって、皮質脊髄路は「ゲート」として機能し、有用または無関係と見なされる情報を調整または遮断する可能性があります。
皮質脊髄路の軸索は、大脳脚と呼ばれる大きな繊維束の一部として脳幹に下降します。
脳幹の下部では、皮質脊髄路の線維の約90%が脳幹の反対側へ交差します【錐体交差】。
分節した線維は、外側皮質脊髄路とよばれます。
一方、延髄で交叉を行わない残り10%の線維は同側脊髄の前索を下行する前皮質脊髄路【腹側皮質脊髄路】を形成します。
皮質脊髄路のこの2つの異なる枝の線維は、異なる種類の筋肉の活動を優先的に刺激します。
外側皮質脊髄路:主に四肢の筋肉の動きを制御します。
前皮質脊髄路:体幹、首、肩の筋肉の動きに関与しています。
すべての皮質脊髄線維のうち、約20%が胸椎レベルで、 25%が腰仙椎レベルで、55%が頚椎レベルで終末を迎えます。
運動皮質から発生した線維の多くは、その後脊髄の前角細胞で終末を迎えます。
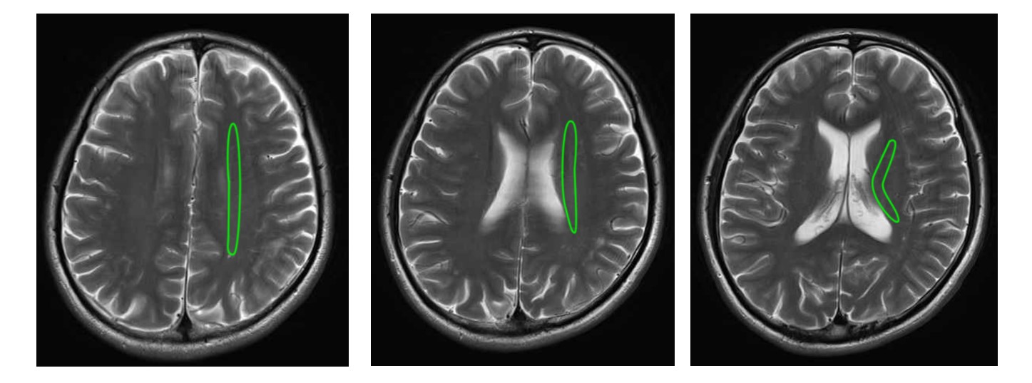
皮質脊髄路は内包後脚に収斂していきます。以下は放線冠のイメージ、内包周囲のMRIです。

放線冠MRI ↓↓↓

引用元:画像診断Cafe
内包周辺のMRI↓↓↓

引用元:画像診断Cafe

上位運動ニューロン病変
錐体路は中枢神経系のほぼ全域に分布しているため、損傷しやすいです。
左右の皮質脊髄路の片側のみの病変であれば、対側にも症状が現れます。上位運動ニューロン病変の主な症状は以下の通りです。
●過緊張 – 筋緊張の亢進
●過反射 – 筋反射の亢進
●クローヌス – 不随意でリズミカルな筋収縮
●Babinski sign – 足底の鈍的刺激に対する母趾伸展
●筋の脱力(筋弱化)
●皮質延髄路の損傷では大部分は両側性であるため、一側性の病変では通常、対側においても軽度の筋力低下が起こる。しかし、すべての脳神経が両側性入力を受けているわけではないので、少数の例外がある。
脳卒中後の錐体路障害と手の機能回復
脳卒中後の手の機能回復における問題は、皮質および脳幹領域からの制御の問題を考える必 要があります。
手の麻痺に伴う力の喪失は,内包後脚に投射する一次運動野(M1)や白質線維などの特定病巣で観察されます。
錐体路に病変をもつサルでは、皮質脊髄路障害の影響が大きく、症状としては手指の全体的な屈曲が認められやすいです。
これは一般的に握力把握に分類され、軽度~中等度の脳卒中後初期に観察され、手指の巧徹性よりも先に回復しやすい傾向があります。
脳卒中後の手の障害による残存機能の解釈をするうえで「残存した皮質脊髄ニューロンの動員」、「脳幹下行路における皮質変容」の2つを考えていく必要があります。
残存した皮質脊髄ニューロンの動員に関してはM1の一部の皮質運動ニューロン細胞は神経支配する筋の精密把握時に活性化されます。しかし、握力把握時には活性化されないという報告があります。
つまり、皮質運動ニューロン接続は力発揮の程度を担うのではなく、力の微細なコントロールを担っていることを示唆しています。
一方,脳幹下行路は精密さとは対照的な強い筋収縮への関与が示唆されています。
網様体路の軸索枝は、皮質脊髄軸索に比べて、脊髄内により広く分布しており、多くの運動ニューロンを構築しています。そのため、高度な精度が必要なタスクには適さず、その代わりに、広い範囲の運動制御に適した機能を持っています。
このように、脳卒中後の個体損失のメカニズムは弛緩している状態から、まずは握力把握の機能を獲得するために網様体路の初期動員を通じて行われます。
残存した単シナプス性の皮質脊髄路および比較的無傷の網様体脊髄路間の動的相互作用は、初期の麻痺の状態およびその後の回復パターンの双方の基盤となります。

画像引用元:脳卒中の動作分析 金子唯史 著
次に脳卒中では随意的な筋収縮や運動を起こす際の経路である錐体路の異常により「痙縮」を伴いやすいのはご存知ですよね。痙縮の原因は反射亢進だけではありません。説明できますでしょうか?
下の記事と動画で痙縮について深く解説していますので併せてご覧になってみてください。
錐体外路とは?
脳幹から発生し、脊髄に向かって運動線維を伝えます。この経路は、筋緊張、平衡感覚、姿勢、運動など、すべての筋骨格の不随意的かつ自動的な制御に関与しています。下行路内にはシナプスは存在せず、下行路の終点で下位運動ニューロンとシナプスを形成します。細胞体は大脳皮質または脳幹に存在し、軸索は中枢神経系内に残っています。 錐体外路は、姿勢の維持や不随意運動機能の調節に不可欠な機能を担っています。
ちなみに、
- 前庭脊髄路と網様体脊髄路は交差せず、同側の神経支配を提供します
- 赤核脊髄路と視蓋脊髄路は交差しているので、反対側の神経支配を提供します

引用元:https://healthjade.net/upper-motor-neuron/
●姿勢筋緊張の調整
●不随意運動のための原因となる持続的な緊張
●随意運動をより自然に、より正しく動作を実行する
●筋緊張や動作の自動的な調整
●感情的・注意的な状況への反応に伴う反射の制御(リアクション)
●元々随意であった動作が、運動学習によって自動化された動作の制御(例:筆記など)特に錐体外路疾患に顕著な不随意運動の抑制。
これらの調節機構は大脳皮質の一部、小脳、視床、網様体、いくつかの基底核(皮質下核のグループ)など、脳の複数の領域にある中枢の処理に関与しています。
解剖学的には、大脳皮質からの投射を受け、脳幹や脊髄に投射する核と繊維路の集合体として定義され、機能的には複雑な運動調節系として働いています。
錐体外路の損傷における臨床症状
錐体外路の病気は、変性疾患、脳炎、腫瘍などでよく見られます。これらの病気が起こると、様々な運動障害や不随意運動障害が現れます。代表的な錐体外路の障害には、パーキンソン病(PD)、線条体の変性過程によるハンチントン舞踏病(HC)、小舞踏病、多系統萎縮症(MSA)、進行性核上性麻痺などがあります。
これらの錐体外路病態は、主に神経変性過程によって引き起こされます。病気によっては、不随意の運動変化(振戦や痙攣)、随意運動の障害、認知機能の低下(特に記憶)、感情障害(例:うつ病)が主な症状として現れます。また、姿勢の変化(例:ピサ症候群)も観察されることがあります。
錐体外路系の障害によるピサ症候群に関しての下の記事とをまとめています。
臨床動画と併せてご覧ください。
パーキンソン病様の歩行と錐体外路

脳卒中患者では、発症後に固縮、無動、姿勢反射障害を呈するパーキンソニズム様症状が麻輝側、 非麻陣側に出現している場合があります。
歩行時のターンや椅子に座る際にもステップや手続きが多いケースにも何らかの錐体外路を形成する基底核症状が生じている可能性があります。
脳卒中患者のなかには麻痺以外の要素として、パーキンソン様の歩行が非麻痺側を含めた全体的な運動パターンに認められる者もいます。
被殻などに障害が生じると、基底核からの抑制シグナルが過剰に投射され、
1)スムーズな皮質脊髄路投射の減少
2)小脳系の過活動(フィードバック、フィードフォワ一 ド)
3)過剰な意識に伴う歩行の多様性や自動メカニズムの低下
4)姿勢制御活動の低下
が生じる可能性があります。
このような代償メカニズムは脳卒中患者の歩行改善のためのヒントになります。
カテゴリー
神経系
タイトル
皮質脊髄路の損傷後の運動ニューロンの接続
Changes in descending motor pathway connectivity after corticospinal tract lesion in macaque monkey?PMC Boubker Zaaimi et al.(2012)
なぜこの論文を読もうと思ったのか?
●脳卒中後の皮質下の運動に関わるふるまい、mirror movements等に興味があり、脳卒中後の神経回路に関わる論文を読む中で本論文に至る。
内 容
背景
●皮質脊髄路の損傷は、脳卒中や脊髄損傷による運動障害の主な原因です。一部の機能は通常回復しますが、損傷を受けていない同側の下行路にある脳幹経路、例えば皮質脊髄軸索や網様体脊髄路などの可塑性が、回復にどの程度寄与するかはまだ分かっていません。
●我々は最近、網様脊髄路を含む内側脳幹から発する下降路が、霊長類の手の筋肉を弱くとも活性化できることを示しました(Riddleら、2009)。
目的
●皮質脊髄の病変からの回復後、これらの経路の運動ニューロンへの繋がりを調べました。
方法・結果
●錐体路内の皮質脊髄線維の髄質部の広範片側性病変を、3匹の成体マカクザルで作った。
●対側の弛緩性麻痺後、運動機能は急速に回復し、その後に全ての動物は麻痺手でケージバーを握り、その体重を支持することができた。
●実験的試験が行われた1匹では、細やかな分離した指の動きは回復しなかった。
●病変の約6ヶ月後、 手および前腕筋を支配する167の運動ニューロンから細胞内記録をとった。
●非損傷側の同側の錐体路および内側縦状束を刺激することによって誘発されたシナプス応答を記録し、6匹の動物からの207の運動ニューロンにおける対照応答と比較した。
●同側錐体路からの入力は、損傷を受けた動物および対照群の動物の両方で稀かつ弱く、機能的回復におけるこの経路の限られた役割を示唆している。
●我々は、網様体脊髄路系が皮質脊髄病変後の機能回復の一部を補助すると結論する。
●対照的に、単シナプスおよび2シナプスの興奮性シナプス後電位(excitatory postsynaptic potential; EPSP)は内側縦束から誘発され、回復後の平均サイズは有意に増加した。それは前腕屈筋および手内在筋を支配する運動ニューロンにおいてのみであり、前腕伸筋運動ニューロンにおいてではない。

●伸筋ではなく、屈筋への不均衡で強力な結合は、運動ニューロンは、神経学的経験において脳卒中者の回復に共通の制限である伸筋weaknessおよび屈筋スパズムを反映する。
●系統発生的に古い脳幹経路は、運動指令が脊髄に到達する経路を提供することができる。サルの皮質脊髄病変後、赤核からのアウトプットが強化されることが示されている(Belhaj-Saif and Cheney、2000)。
●人の赤核からの脊髄への投影は弱いか稀であり、これらの知見と猿の関係が疑問視されている。脳病変から回復する患者にとって重要な経路である。
私見・明日への臨床アイデア
●脳卒中後に、赤核のアウトプットが強化されるという点で、赤核脊髄路は生理学的屈曲の発火を高めることが知られている。しかし、この経路は人では、退化・萎縮していると言われる。それぞれの脳回路がどのように補い合って、臨床患者像に繋がるのか、継続して臨床に活かせるまで関わる論文を読み理解を深めたい。

塾講師陣が個別に合わせたリハビリでサポートします

1981 :長崎市生まれ 2003 :国家資格取得後(作業療法士)、高知県の近森リハビリテーション病院 入職 2005 :順天堂大学医学部附属順天堂医院 入職 2015 :約10年間勤務した順天堂医院を退職 2015 :都内文京区に自費リハビリ施設 ニューロリハビリ研究所「STROKE LAB」設立 脳卒中/脳梗塞、パーキンソン病などの神経疾患の方々のリハビリをサポート 2017: YouTube 「STROKE LAB公式チャンネル」「脳リハ.com」開設 2022~:株式会社STROKE LAB代表取締役に就任 【著書,翻訳書】 近代ボバース概念:ガイアブックス (2011) エビデンスに基づく脳卒中後の上肢と手のリハビリテーション:ガイアブックス (2014) エビデンスに基づく高齢者の作業療法:ガイアブックス (2014) 新 近代ボバース概念:ガイアブックス (2017) 脳卒中の動作分析:医学書院 (2018) 脳卒中の機能回復:医学書院 (2023) 脳の機能解剖とリハビリテーション:医学書院 (2024) パーキンソン病の機能促進:医学書院 (2025)


