【2024年版】中側頭回の解剖とリハビリテーション:言語理解と認知機能の改善アプローチ!
はじめに
本日は中側頭回について解説したいと思います。この動画は「リハビリテーションのための臨床脳科学シリーズ」となります。

内容は、STROKE LAB代表の金子唯史が執筆する 2024年秋ごろ医学書院より発売の「脳の機能解剖とリハビリテーション」から
以下の内容を元に具体的トレーニングを呈示します。

動画一覧は写真をクリック
中側頭回とは?
部位
**中側頭回(Middle Temporal gyrus: MTG)**は、脳の側頭葉に位置する重要な領域です。側頭葉には3つの回があり、上側頭回、中側頭回、下側頭回が含まれます。中側頭回は、上側頭溝と下側頭溝の間に位置しています。
血液供給
中側頭回は主に中大脳動脈(MCA)の枝から血液供給を受けます。MCAの皮質枝には、浅側頭動脈、角回動脈、後側頭動脈が含まれ、中側頭回を含む側頭葉の重要な領域に血液を供給しています。
神経ネットワーク
-
言語処理ネットワーク
MTGはウェルニッケ野に関連し、特に言語理解において重要な役割を果たします。MTGは言語の意味処理を担い、話し言葉や書き言葉の理解に貢献します。下前頭回(ブローカ野)、上側頭回、角回などの領域と連携し、言語の意味理解に関与しています。 -
デフォルトモードネットワーク(DMN)
MTGはデフォルトモードネットワークの一部であり、特に休息時に高い活動を示し、自己関連的な思考や心の迷いに関与します。タスク中には活動が低下し、内部指向の認知機能に関与する領域です。
-
社会的認知ネットワーク
MTGは他人の行動や意図の認識、いわゆる心の理論に関与します。これには、側頭頭頂接合部や前頭前皮質との連携が重要です。
-
意味記憶ネットワーク
MTGは意味記憶、すなわち事実情報の処理と検索に関与します。他の側頭葉構造や前頭葉の一部と連携して、記憶の検索と保持を支えています。 -
聴覚処理ネットワーク
MTGは高次聴覚処理に関与し、特に音声や音楽などの複雑な音の理解を担います。一次および二次聴覚皮質との接続により、この機能が促進されます。
-
視覚処理ネットワーク
MTGの後部は腹側経路(what経路)の一部で、物体の認識や視覚記憶に関与しています。これは、物体の動きやマルチモーダルな感覚統合を必要とするタスクにおいても重要です。
-
注意ネットワーク
MTGは空間ベースおよび特徴ベースの注意に関与しています。前頭眼野や頭頂部の注意ネットワークと連携し、注意の制御に寄与しています。
病態像
-
言語処理障害
MTGが損傷すると、特に言語理解に困難をきたします。例えば、ウェルニッケ失語では、言語の意味理解に影響が生じます。
-
意味性認知症
MTGは意味記憶に関与しており、損傷すると物や人、概念に関する知識が失われる意味性認知症の症状が現れることがあります。 -
視覚認知障害
MTGは視覚認知にも関与しており、損傷があると動きの知覚や空間認識に異常が生じる可能性があります。
-
精神疾患との関連
中側頭回は、統合失調症、双極性障害、大うつ病などの精神疾患とも関連しています。特にこれらの疾患では、MTGの構造的および機能的な異常が確認されています。
-
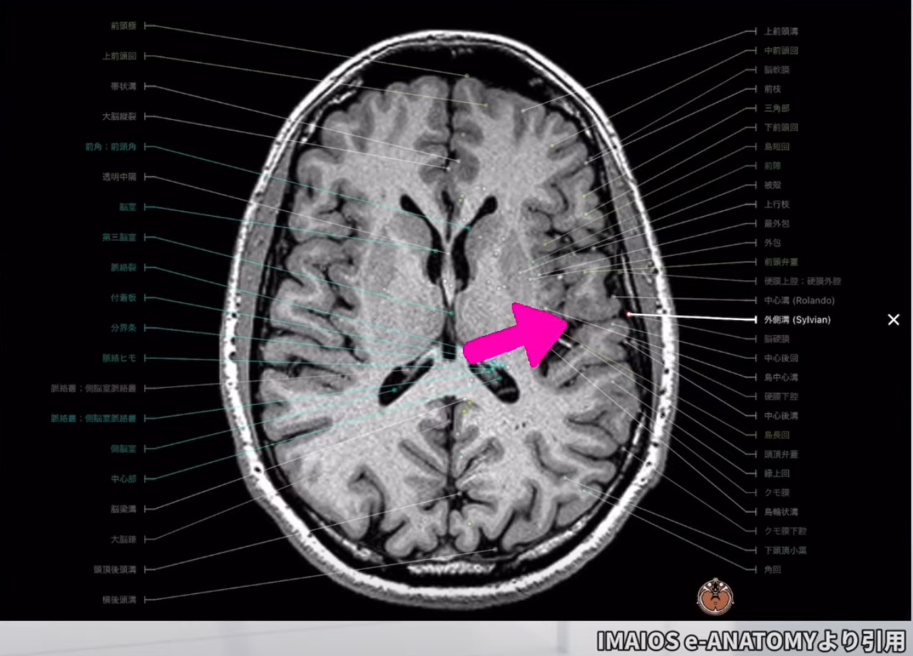
出発点としてのシルビウス裂
-
基本的なランドマークとしてのシルビウス裂
- シルビウス裂(外側溝)は脳の外側面に位置する深い溝であり、側頭葉と前頭葉・頭頂葉を分ける重要なランドマークです。
- MTGを特定する際の出発点として、まずシルビウス裂を明確に識別します。

-
シルビウス裂からの位置関係
- シルビウス裂から下方に進むと、最初に上側頭回(STG)が現れ、そのすぐ下に中側頭回(MTG)が位置します。
- シルビウス裂はMTGの上方境界を決める間接的な指標となります。

-
-
回と溝の識別
-
上側頭溝と下側頭溝の特定
- MTGは上側頭溝と下側頭溝に挟まれており、これらの溝を明確に識別することでMTGを正確に特定できます。
- 上側頭溝はSTGとMTGを分ける溝で、シルビウス裂と平行に走行します。
- 下側頭溝はMTGと下側頭回(ITG)を分ける溝で、上側頭溝の下方に位置します。

-
溝の特徴的な形状と走行
- 溝は個人差がありますが、一般的にMTGを挟む形で走行します。
- 冠状断では、溝が脳表面から内部に向かって伸びる溝として観察できます。
-
溝の連続性の確認
- 溝の連続性を追跡することで、MTGの前後方向の範囲を確認できます。
- 複数のスライスで溝の走行を確認し、MTGの全体像を把握します。
-
-
前部および後部のランドマーク
-
側頭極からの起始点
- MTGは前方では側頭極付近から始まります。
- 側頭極は側頭葉の最前部であり、MTGの前端を特定する重要なポイントです。

-
後頭葉への延長
- MTGは後方に向かって後頭葉まで伸びます。
- 後方に進むと溝が浅くなり、MTGと他の回との境界が不明瞭になることがあります。

-
-
断面図
-
軸位断での観察ポイント
- 形状の確認: MTGは側頭葉の外側面に位置し、楕円形または円形の構造として見えます。
- 位置関係: 上方にSTG、下方にITGが位置し、MTGはその間に挟まれています。
- シルビウス裂との関係: シルビウス裂はMTGの上方境界として認識できます。
-
冠状断での観察ポイント
- 水平走行の確認: MTGが水平に走行し、上側頭溝と下側頭溝に囲まれている様子を確認します。
- 溝の深さと形状: 溝の深さや形状を観察し、MTGの明確な境界を特定します.
- 左右対称性の評価: 左右のMTGの形状やサイズを比較し、異常の有無を確認します。

-
矢状断での観察ポイント
- 前後の長さの確認: MTGが側頭極から後頭葉までどの程度延長しているかを評価します。
- 溝の連続性: 矢状断では、溝が縦方向に走行する様子を確認できます。
-
-
サイズと形状の比較
-
相対的な幅の評価
- 一般に、MTGはその上にあるSTGよりも狭く、その下にあるITGよりも広い傾向があります。
- STG、MTG、ITGの比較: それぞれの回の幅や形状を比較し、MTGの相対的位置とサイズを確認します。

-
個体差の考慮
- 大きさや形状は個人差があり、脳の解剖学的変異も考慮する必要があります。
- 年齢や性別による変化: 年齢による脳萎縮や性別による解剖学的差異を理解し、正常範囲を把握します。
-
論文トピック
2014年 ペリー
「Feature integration and object representations along the dorsal stream visual hierarchy」
この論文は、視覚階層における背側経路の特徴統合とオブジェクト表現について詳細に探求しています。背側経路は、物体の動きや空間的位置に関する処理に特化しており、視覚情報の基礎から高度な認識までの流れを明らかにしています。
背側経路(Where経路)
背側経路は、空間内のオブジェクトの位置と動きの処理に主に関与しており、視覚情報を元にして動きをガイドするための情報を提供します。主に「Where経路」と呼ばれ、空間認識や動作の調整に役立ちます。
・網膜と外側膝状核
網膜と外側膝状核にある特定の細胞は、動きの検出に特化しています。特に、動きの速い画像や低照度の環境でも優れた処理能力を持ちますが、色の認識には関与しません。
・一次視覚野(V1)
V1では、動きに敏感な細胞がオブジェクトの方向や速度を検出します。これは視覚システムの動きの処理の最初のステップです。
・V2エリア
V2はV1からのモーション情報を受け取り、次の段階へとつなげます。ここでは、動きの処理が進みますが、主な役割は他の高次処理にあります。
・MTエリア
MT(中側頭領域)は、視覚的な動きの処理において中心的な役割を果たします。特に、方向、速度、2D空間でのオブジェクトの動きを理解することに優れています。
・MSTエリア
MSTは、より複雑な動きや3Dモーションを処理します。これにより、私たち自身や周囲の物体が3D空間内でどのように動いているかを理解することができます。
・後頭頂皮質
最終的に、背側経路の情報は後頭頂皮質に達します。この領域は、視覚情報に基づいて行動を調整し、空間認識や動作の誘導に関わる重要な役割を果たします。
腹側経路(What経路)
腹側経路は、物体の形状や色、テクスチャを認識することに特化しており、「What経路」と呼ばれます。特に物体の識別や認識に関わり、より高次な視覚処理を行います。
・V1への入力
V1は色や細部に敏感な細胞を通じて情報を受け取ります。ここでの処理は、物体の基本的な形状や輪郭の検出が中心です。
・V2エリア
V2では、物体のエッジや輪郭をさらに理解する段階に進みます。形状の処理が始まり、物体の特徴がより詳細に捉えられます。
・V4エリア
V4は色の認識に特化しており、より複雑な色の処理や角度の認識が行われます。ここで物体の形状もさらに高度に理解されます。
・IT皮質(下側頭皮質)
IT皮質は、物体認識の最も高度な領域です。複雑な形状、色の組み合わせ、そして顔や身体の部分などを識別する能力に優れています。また、照明や位置が変わっても物体を正確に認識する能力を持ちます。
このように、背側経路(Where経路)は動きや空間認識に、腹側経路(What経路)は物体の識別や認識に特化しており、それぞれ異なる視覚処理を担当しています。
新人が陥りやすいミス
1. 社会的認知
集団生活に参加する機会を提供しない
新人セラピストは、患者が集団生活での役割や関係性を学ぶ場を十分に提供しないことがあります。集団での順番を守る練習や、他者との協力を学ぶことは、患者の社会的復帰に重要です。これが不足すると、社会的なルールを理解するのが難しくなり、孤立を招く可能性があります。
また、感情の表現を学ぶ機会も失われがちです。患者が強い感情に直面する場面を提供し、感情を適切に表現する機会を増やすことが重要です。これが欠けると、感情コントロールや他者とのコミュニケーションが難しくなります。
2. 言語処理
安心して表現できる環境を作らない
新人セラピストは、患者が自分の問題を安心して話せる環境を作ることを忘れがちです。患者が困難を表現したり、説明を求めたりする意欲を引き出すためには、心理的に安全な環境が必要です。これが欠けると、患者はコミュニケーションを避けるようになり、リハビリの進行に影響が出ます。
対策として、患者が自由に質問やフィードバックをできるオープンな雰囲気を作ることが大切です。これにより、患者は安心して課題に取り組むことができ、リハビリの効果が向上します。
②血液供給: 主に MTG に血液を供給する動脈はどれですか?またその主な枝は何ですか?
③言語処理ネットワーク: MTG は言語理解と意味処理にどのように貢献しますか?
④デフォルト モード ネットワーク: MTG はデフォルト モード ネットワークでどのような役割を果たしますか?また、このネットワークの主な機能は何ですか?
⑤社会的認知ネットワーク: 社会的認知と心の理論における MTG の関与について説明します。
⑥セマンティック メモリ ネットワーク: MTG はセマンティック メモリの処理と取得にどのように貢献しますか?
⑦聴覚処理ネットワーク: MTG はより高いレベルの聴覚処理にどのように関与していますか?
⑧視覚処理ネットワーク: MTG は物体認識と視覚記憶のための腹側経路にどのように関与しているのでしょうか?
⑨注意ネットワーク: 注意ネットワーク、特に空間ベースおよび特徴ベースの注意の側面における MTG の役割は何ですか?
⑩臨床的影響: MTG への損傷によりどのような種類の障害や機能障害が発生する可能性がありますか?また、それらは患者の行動や認知にどのように現れるのでしょうか?
①解剖学的位置: 中側頭回 (MTG) は人間の脳の側頭葉にあり、上側頭溝と下側頭溝の間に位置します。
②血液供給: MTG は主に、上側頭動脈、角回動脈、後側頭動脈などの中大脳動脈の枝から血液供給を受けています。
③言語処理ネットワーク: MTG は脳の言語ネットワークの重要なコンポーネントであり、言語の意味処理と、話し言葉や書き言葉の意味の理解に関与します。 これは、下前頭回、上側頭回、角回などの領域と接続しています。
④デフォルト モード ネットワーク: MTG はデフォルト モード ネットワークの一部であり、休息中にアクティブになり、心の迷い、空想、自己言及の思考プロセスなどの内部指向の認知機能に関与します。
⑤社会的認知ネットワーク: MTG は社会的認知において役割を果たし、他者の行動や意図の認識と解釈を支援します。
それは側頭頭頂接合部や前頭前皮質などの領域と相互接続されています。
⑥意味記憶ネットワーク: MTG は、他の側頭葉構造や前頭葉の部分と連携して、意味記憶の処理と検索に貢献します。
⑦聴覚処理ネットワーク: MTG は、一次および二次聴覚皮質との接続を通じて、
より高いレベルの聴覚処理、特に音声や音楽などの複雑な音の理解に関与しています。
⑧視覚処理ネットワーク: 腹側経路の一部として、MTG は物体認識と視覚記憶、特に物体の動きの理解と多峰性の感覚統合を必要とするタスクに関与します。
⑨注意ネットワーク: MTG には、注意ネットワークに参加する接続があり、空間ベースおよび特徴ベースの注意の側面に焦点を当て、前頭眼野や頭頂部の注意ネットワークなどの領域と相互作用します。
⑩臨床的影響:MTGの損傷は、言語理解の困難、意味的認知症、視覚知覚の変化を引き起こす可能性があり、
また、統合失調症、双極性障害、大うつ病などの精神疾患にも関連しています。
中側頭回 (MTG) を意識したリハビリテーション展開例
登場人物
- 療法士:田中先生
- 患者:石川さん
ストーリー
初回セッション:評価と課題設定
田中先生は、石川さんが面会など家族や知人との会話で困難を感じていることについて詳しく聞いた。特に、複数人での会話に苦手意識を持ち、会話の流れに乗るのが難しいことや、文脈理解の問題、面会者の顔を思い出せないことが主な課題だった。
田中先生:「最近、家族や友人と話すとき、どんなことで困っていますか?」
石川さん:「皆で話しているとき、上手く付いて行けなくて、途中で言葉の意味がわからなくなってしまうことがあります。しかも、顔を見ても誰だかわからないこともあって…。」
田中先生はこれらの課題に対応するための具体的なリハビリ目標を設定した。
総合評価とリハビリ目標の設定
田中先生は、以下の3つのリハビリ目標を設定した:
-
馴染みのある顔の記憶力を向上させる
-
文脈に基づく言葉の意味理解を強化する
-
会話の流れに乗るスキルの向上
リハビリの計画と実施
- 馴染みのある顔と名前の記憶トレーニング:昔のエピソードを活用
- 田中先生は、家族や友人の写真を使い、石川さんにその人との過去のエピソードを語ってもらうことで、記憶を強化するトレーニングを行った。例えば、昔の旅行やイベントなどの思い出を掘り起こし、そのエピソードを会話に取り入れる方法を練習した。
田中先生:「この写真、覚えていますか?」
石川さん:「これは息子の写真ですね。昔、家族で海に行ったときのことを思い出します。」
田中先生:「その時のことをもう少し教えていただけますか?エピソードを思い出すことが記憶を強化するのに役立ちます。」
この練習により、石川さんは面会者との会話の中で過去のエピソードを自然に引き出し、顔と名前をより正確に思い出せるようになった。
- 文脈を意識した意味理解の訓練
- 「雨」と「飴」のような多義語を使い、文脈による意味の違いを理解する練習を行った。最初は単語レベルから始め、次に短文を使って文全体から言葉の意味を推測する練習を進めた。
田中先生:「この文では『きしゃ』は何を意味すると思いますか?」
石川さん:「文脈からすると、これは『汽車』ですね。」
田中先生:「その通りです。文全体を読むことで、意味がはっきりしますね。次の文も見てみましょう。」
この訓練を通じて、石川さんは文脈を意識して言葉の意味を理解する力が強化され、会話の中での混乱が減少した。
- 会話の流れをつかむ練習
- 田中先生は、複数人が会話するシナリオを想定し、石川さんが誰が話しているのか、話題がどのように移り変わるかを理解し、適切に反応できるように練習を行った。最初は少人数の会話から始め、徐々に人数を増やして難易度を上げていった。
田中先生:「今日は家族の集まりをシミュレーションして、話の流れを見ていきましょう。」
石川さん:「お母さんが話しているのは、昨日の夕食のことですね。」
田中先生:「その通りです。次に誰が話すか、予想してみましょう。」
この練習により、石川さんは複数人での会話の中でも話の流れを追い、適切なタイミングで反応できるようになった。
結果と進展
リハビリの数週間後、石川さんは面会者の顔と名前をより正確に思い出せるようになり、家族との会話がスムーズに進むようになった。また、文脈理解の力も向上し、日常会話での混乱が減り、複数人の会話でも話の流れを理解できるようになった。
田中先生:「最近、家族や友人との会話はどうですか?」
石川さん:「昔の話を思い出しながら話せるようになって、すごく楽になりました。話の流れもだいぶつかめるようになりました。」
田中先生:「素晴らしい進歩です。これからもその調子で、さらに自信をつけていきましょう。」
石川さんはリハビリを通じて自信を持ち、家族や友人との時間をより楽しめるようになった。
今回のYouTube動画はこちら
退院後のリハビリは STROKE LABへ
当施設は脳神経疾患や整形外科疾患に対するスペシャリストが皆様のお悩みを解決します。詳しくはHPメニューをご参照ください。

STROKE LAB代表の金子唯史が執筆する 2024年秋ごろ医学書院より発売の「脳の機能解剖とリハビリテーション」から
以下の内容を元に具体的トレーニングを呈示します。


STROKE LABではお悩みに対してリハビリのサポートをさせていただきます。詳しくはHPメニューをご参照ください。

1981 :長崎市生まれ 2003 :国家資格取得後(作業療法士)、高知県の近森リハビリテーション病院 入職 2005 :順天堂大学医学部附属順天堂医院 入職 2015 :約10年間勤務した順天堂医院を退職 2015 :都内文京区に自費リハビリ施設 ニューロリハビリ研究所「STROKE LAB」設立 脳卒中/脳梗塞、パーキンソン病などの神経疾患の方々のリハビリをサポート 2017: YouTube 「STROKE LAB公式チャンネル」「脳リハ.com」開設 2022~:株式会社STROKE LAB代表取締役に就任 【著書,翻訳書】 近代ボバース概念:ガイアブックス (2011) エビデンスに基づく脳卒中後の上肢と手のリハビリテーション:ガイアブックス (2014) エビデンスに基づく高齢者の作業療法:ガイアブックス (2014) 新 近代ボバース概念:ガイアブックス (2017) 脳卒中の動作分析:医学書院 (2018) 脳卒中の機能回復:医学書院 (2023) 脳の機能解剖とリハビリテーション:医学書院 (2024) パーキンソン病の機能促進:医学書院 (2025)








